
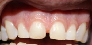
Porcelain Veneers are wafer-thin, custom-made shells of tooth-colored materials designed to cover the front surface of teeth to improve appearance.
These shells are bonded to the front of the teeth changing their color, shape, size, or length. We recommend this treatment to anyone experiencing discoloration that cannot be fixed with whitening or if your teeth are damaged. Porcelain veneers are also an option if you’re unhappy with the shape or look of your natural teeth.



